We have been offering a variety of otic studies to support test article efficacy, toxicity and pharmacokinetics, particularly to support regulatory submissions, CBI is one of the few CROs which provide specialized otic preclinical studies in laboratory animals.
–Research studies
–GLP, IND enabling studies
–Efficacy, pharmacokinetics, and toxicology
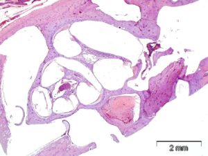
–Histopathology-beautiful cochlea on right
–Multiple species-rodents, guinea pigs, chinchillas, pigs, dogs, cats
Special assays such as ABR, IHC, hair cell analysis, perilymph collection available
