CBI has optimized and validated four new pulmonary models that have both immune mediated and infection components.
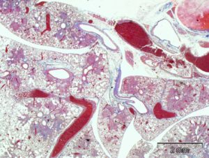
Model of Nasal Aspergillosis in Rabbits
Chronic invasive fungal rhinosinusitis (Aspergillus fumigatus)may occur in subtle immunosuppression as seen in diabetes, corticosteroid use and human immunodeficiency virus infection as well as in patients without obvious immune defects. This condition may present as either an invasive or noninvasive form based on the histopathological findings of the invaded tissue. The non-invasive category of fungal sinusitis is defined by the absence of hyphae within the mucosal and other tissues of the paranasal sinuses and includes fungal colonization, fungal ball and allergic fungal rhinosinusitis while the invasive fungal rhinosinusitis is defined by the presence of fungal hyphae within the mucosa, submucosa, bone or blood vessels of the paranasal sinuses.
CBI has developed and validated a surgically-induced model of either invasive or noninvasive nasal aspergillosis infection in rabbits. In this model, a fungal infection in the sinus is established and then various modalities for treatment are assessed.
- Fungal culture
- Histopathology
- Clinical pathology
- Radiology
- Cytokine mediators
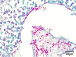
Model of Murine Pulmonary Aspergillosis
Murine models of pulmonary aspergillosis are important for the assessment of novel therapeutics and diagnostics, as well as for the study of disease pathogenesis. CBI has developed and validated a model of intratracheally-induced pulmonary aspergillosis infection in mice. In this model, an infection in the lung is established and then various modalities for treatment are assessed. Endpoints may include:
- Fungal culture
- Histopathology
- Clinical pathology
Model of murine hypersensitivity pneumonitis (Farmer’s Lung)
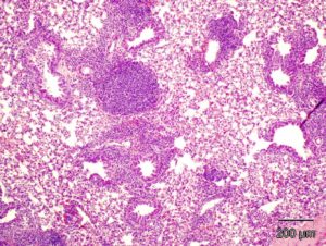
Murine models of pulmonary hypersensitivity and inflammation are important for the assessment of novel therapeutics and diagnostics, as well as for the study of disease pathogenesis. CBI has developed and validated a murine model of hypersensitivity pneumonitis (“Farmer’s Lung”) induced by the organism Saccharopolyspora rectivirgula. In this model, the repeated intrapulmonary introduction of S. rectivirgula induces a robust, uniform and marked inflammatory response in the lung characterized by large multifocal chronic granulomas throughout the lung.

Endpoints may include:
- Histopathology
- Immunohistochemistry and special stains
- Clinical pathology
- Cytokine mediators
Murine model of Sarcoidosis: pulmonary fibrosis and chronic inflammation
Murine models of Sarcoidosis or granulomatous pneumonia, pulmonary fibrosis and hypersensitivity are important for the assessment of novel therapeutics and diagnostics, as well as for the study of disease pathogenesis. CBI has developed and validated a robust murine model of Propionibacterium acnes-induced hypersensitivity, or granulomatous pneumonia. In this model, the repeated intrapulmonary introduction of killed P. acnes induces a robust, uniform and marked inflammatory response in the lung characterized by inflammation, granuloma formation and fibrosis throughout the lung.
- Histopathology
- Immunohistochemistry and special stains
- Clinical pathology
- Cytokine mediators


