Models of Neonatal Hyperoxgenation: Bronchopulmonary Dysplasia and Oxygen-Induced Retinopathy
Neonatal hyperoxygenation has been demonstrated to produce at least two significant syndromes, Bronchopulmonary Dysplasia and Retinopathy of Prematurity in children. Developing treatments for these two syndromes represents an unmet medical need. Here at CBI, we have developed and validated robust models for both of these clinical indications for the purposes of assessing mechanism of action and for assessing the activity of treatment modalities. The preclinical models employ neonatal murine species. Placing pups in a high oxygen environment for 2 weeks induces both bronchopulmonary dysplasia and oxygen-induced retinopathy that are translationally useful and robust models of the human disease.
Preclinical Hyperoxygenation Models at CBI
- Bronchopulmonary Dysplasia
- Oxygen-induced retinopathy (retinopathy of prematurity)
- Angiotensin-II induced retinal vascular leakage
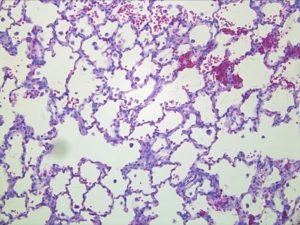
Bronchopulmonary Dysplasia
Pulmonary fibrosis and inflammation may be induced in rodent neonates by placing them into a hyperoxygenated environment for 2 weeks. During this time period and for several weeks following return to normal air, alveolar wall fibrosis and thickening, alterations in alveolar diameter and inflammation develop. These lesions as well as the response to therapeutic treatment may be assessed by the following
- Body weights and clinical signs
- Histopathology
- Immunohistochemistry
- Digital histomorphometry
CBI has also developed and validated a proprietary sophisticated method of histomorphometic phase contrast analysis based in part upon Jacob, et al., 2009 to assess and compare subtle changes in the alveolar size and structure during treatment. Our method is more accurate, reproducible, and sophisticated than MLI and accurately reflects relevant changes in the alveolar wall thickness and changes in alveolar spaces. Our method was recently presented at the 2017 SOT meeting.
Ooi L, Zhang Q, Ebrahimnejad A, Paniagua F, Sukhu R, Meschter C, Warren D.: Quantification of lung injury with phase contrast analysis in a rodent model of postnatal hyperoxia-induced pulmonary dysplasia. Poster presented at: Society of Toxicology Annual Meeting; March 12-15, 2017; Baltimore, MD.
For more information, visit our pulmonary white paper or download our presentation.

Oxygen-Induced Retinopathy
Rodent Oxygen-Induced Retinopathy is a preclinical model for Retinopathy of Prematurity in premature infants. OIR, consisting of proliferation of new vessels on the retina with concomitant inflammation may be induced in rodent neonates, by placing them into a hyperoxygenated environment for 2 weeks and then removing them to a normal air environment. During this time period and for several weeks following return to normal air, proliferation of new vessels forming characteristic capillary tufts on the retina and inflammation develop. These lesions as well as the response to therapeutic treatment may be assessed by the following:
- Fluorescein angiography
- Retinal whole mounts
- OCT
- Histopathology
- Immunohistochemistry
- Digital histomorphometry
For more information, visit our OIR white paper or download our presentation.
Histopathology, Immunohistochemistry and Histomorphometry at CBI
CBI’s in-house Histopathology Laboratory offers a wide expertise in histology, immunohistochemistry and digital histomorphometry providing validated, superior methods of assessment including our proprietary Phase Contrast Analysis methodology. All histology is evaluated by an experienced ACVP Board Certified Veterinary Pathologist with expertise in our preclinical models.
IHC assessments for hyperoxygenation may include:
- Collagen type 1
- SMA 1
- CD68
- vWf
- CD8
- PCNA
- KI67
Click here to learn more about our validated method

