

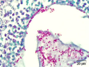
Left: Low magnification photomicrograph demonstrating conidia in a fungal granuloma in the sinus of a rabbit (PAS)
Right: High magnification of photomicrograph demonstrating conidia in a fungal granuloma in the sinus of a rabbit (PAS)
Model of Nasal Aspergillosis in Rabbits
Systemic aspergillosis is common opportunistic infection in immunocompromized and to a lesser extent in immunocompetent, patients. Aspergillus is a ubiquitous saprophyte and infection is both a Third World disease and a disease of immunosuppression such as AIDS, cancer, and diabetes. Benign and malignant forms including allergic, chronic-necrotizing, aspergilloma, and invasive forms occur in humans. Patient clinical signs, CT scanning and fungal culture are common diagnostic tools. Treatment generally includes surgical debridement, drainage and microbial chemotherapy such as ketoconazole or itraconazole. Aspergillosis occurs in a number of veterinary settings as well, also generally with immunosuppressed animals.
Chronic invasive fungal rhinosinusitis (Aspergillus fumigatus) may occur in subtle immunosuppression as seen in diabetes, corticosteroid use and human immunodeficiency virus infection as well as in patients without obvious immune defects. This condition may present as either an invasive or noninvasive form based upon the histopathological findings of the invaded tissue. The non-invasive category of fungal sinusitis is defined by the absence of hyphae within the mucosal and other tissues of the paranasal sinuses and includes fungal colonization, fungal ball and allergic fungal rhinosinusitis while the invasive for of fungal rhinosinusitis is defined by the presence of fungal hyphae within the mucosa, submucosa, bone or blood vessels of the paranasal sinuses.
CBI has developed and validated a surgically-induced model of either invasive or noninvasive nasal aspergillosis infection in rabbits. In this model, a fungal infection in the sinus is established using proprietary methodology, and then various modalities for treatment are assessed. Studies are custom designed specifically for each sponsor and test article.
Study parameters may include:
- Clinical signs, body weight and food consumption
- Hematology and clinical chemistry
- Bioassays for cytokines, immunologic and other markers
- CT scanning and digital radiology
- Quantitative fungal culture
- PCR, qPCR and Elisa
- Histopathology and Immunohistochemistry
Contact us to discuss a scientific study program to fit your Preclinical needs.
A pilot study of antimicrobial photodynamic therapy of encapsulated Aspergillus fumigatus in a rabbit maxillary sinus model – Poster
Aspergillus fumigatus is a commonly isolated agent in invasive aspergillosis and chronic invasive fungal rhinosinusitis. These conditions are often associated with immunosuppression. Standard management involves surgical debridement and long-term antifungal treatment (3 – 15+ months, follow-up <5 yr.), along with tight glycemic control and discontinuation of corticosteroids. Prompt diagnosis and initiation of appropriate therapy for relapse are essential to avoid a protracted or fatal outcome. This study was undertaken to demonstrate the potential for antimicrobial photodynamic disinfection (PDD) in the treatment of aspergillosis.
