Diabetes, Obesity and Metabolic Models CBI
CBI offers validated models for:
- STZ-induced type I and type II diabetes
- Zucker, Db/Db, Ob/Ob, and Pound models
- Other susceptible strains
Streptozotocin-induced diabetes
Streptozotocin (STZ) is an antibiotic that can cause pancreatic β‐cell destruction, so it is widely used experimentally as an agent capable of inducing insulin‐dependent diabetes mellitus (IDDM), also known as type 1 diabetes mellitus (T1DM). This unit describes protocols for the production of insulin deficiency and hyperglycemia in murine species, using STZ. These models for diabetes can be employed for assessing the mechanisms of T1DM, screening potential therapies for the treatment of this condition, and evaluation of therapeutic options.
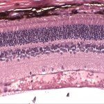
CBI offers a robust and validated model of STZ-induced hyperglycemia and retinopathy. Streptozotocin-induced hyperglycemia results in changes in the retinal pigmented layer consisting of increased thickness of the middle retinal layers, increased new vessel formation, reactive endothelium, dilated capillaries distended with either blood or edema fluid, acute inflammation composed of intravascular neutrophils, and neutrophils adhered to vessel walls and extravascularly by 4 weeks or longer post-STZ treatment. These changes were clearly evident histologically and were supported by Optical Coherence Tomography and retinal angiography. Examination of the retina via fluorescein angiographs reveals increases in retinal vascularity in streptozotocin-treated groups with areas of leakage particularly surrounding the optic nerve. These changes were compatible with and correlated with the histopathologic findings of increased vascularity of the retinal pigmented layer. OCT assessments clearly demonstrating thickening of the retina, primarily the middle layers following STZ induction. Treatment with triamcinolone significantly reduced STZ-induced retinal thickness as well as other ocular changes.
Assessments include:
- Blood glucose
- Blood insulin
- Angiography
- OCT
- Histopathology
- Immunohistochemistry
For more information download our white paper.



