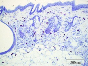
CBI offers a robust validated murine model of atopic dermatitis characterized by edema, perivascular eosinophil and monocyte inflammation, and increased epidermal thickness in taped stripped skin that has been repeatedly sensitized with albumin. The skin is sensitized and challenged by ovalbumin to induced a chronic sensitization that recapitulates the human and veterinary condition. The photomicrographs present the typical histopathology of this model in mice. The toluidine blue stain shows the increases in mast cells in the affected areas. The HE stain demonstrates the typical dermal fibrosis, multifocal inflammation and epidermal hyperplasia found in this model.
2516
Atopic Dermatitis Model at CBI
By Admin • October 6, 2016 • CBIRecent Posts
- Intraocular Lens Implantation Preclinical Models at CBI
- Histopathology on Human Muscle Biopsies from patients affected with a Glycogen Storage Disease
- Models of Pulmonary Infection
- Cannabis Preclinical Pharmacology and Toxicology
- CBI Sponsors Ototoxicity and ABRs in Toxicologic Assessments at the ACT


